• INVISIBLE CAVITY REPAIR IN SECTOR 88 • CALL OR TEXT +91 81782 09327 • INVISIBLE CAVITY REPAIR IN SECTOR 88 • CALL OR TEXT +91 81782 09327 • INVISIBLE CAVITY REPAIR IN SECTOR 88 • CALL OR TEXT +91 81782 09327
My Dentist Logo my dentist.
Book Now
General Dentistry

invisible cavity
repair.

Stop tooth decay in its tracks. We use premium, tooth-colored composite materials to restore your smile seamlessly, safely, and painlessly.

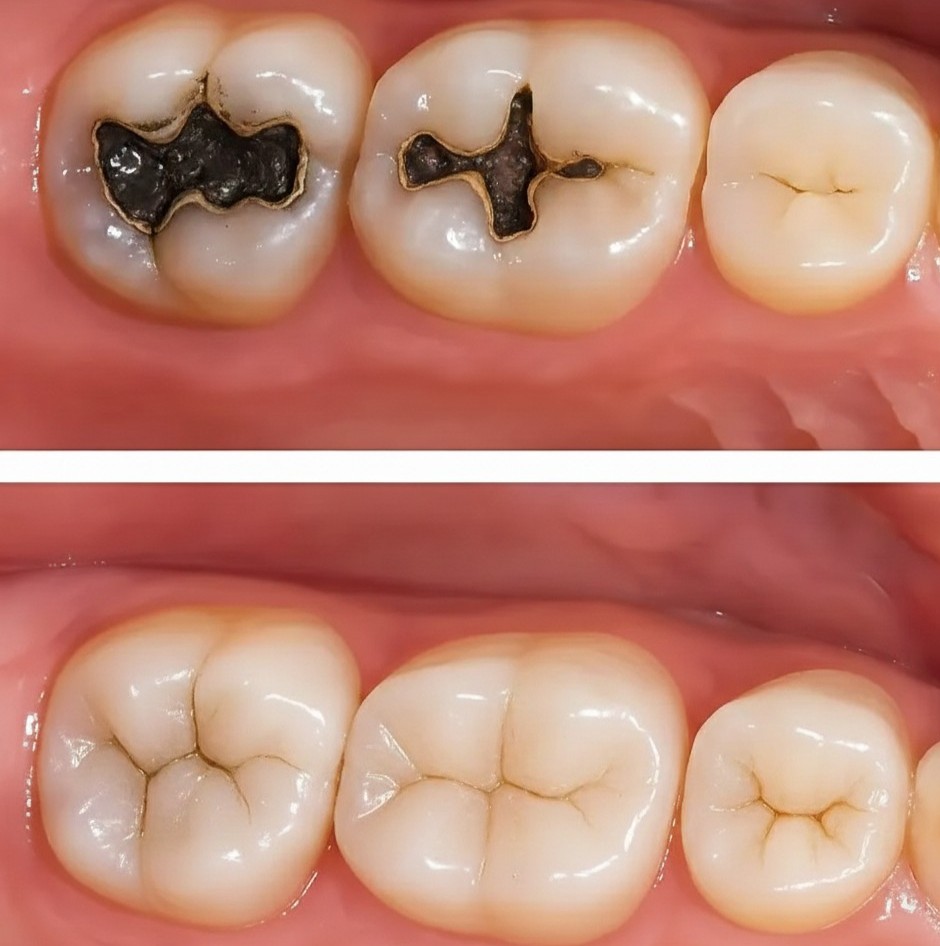
Tooth-colored composite dental cavity fillings by Dr Pakhi Chauhan

don't let a cavity ruin your smile.

A cavity is simply a tiny hole in your tooth caused by decay. If left untreated, that decay will spread deeper into the tooth, eventually reaching the nerve and causing intense pain—often requiring a root canal or extraction. By getting a simple, pain-free filling early, we can stop the decay and save your natural tooth structure.

The Power of Composite (White) Fillings

Gone are the days of ugly, dark silver (amalgam) fillings that contain mercury. At My Dentist, we exclusively use highly durable, safe, and aesthetic composite resin.

1

Perfectly Matched

The composite material is custom-mixed to exactly match the natural shade and translucency of your tooth, making the filling completely invisible when you laugh or speak.

2

Conservative Approach

Composite resin physically bonds to the tooth structure. This means Dr. Pakhi Chauhan can preserve much more of your natural, healthy tooth compared to old-school metal fillings.

3

Fast and Pain-Free

The entire process takes less than 30 minutes per tooth. With a gentle touch and local anesthetic, you won't feel a thing. Once placed, a specialized blue light instantly hardens the filling, so you can eat and drink normally as soon as your appointment is over.

Signs You Might Need a Filling:

visit our luxury
clinic in sector 88.

Experience world-class dental care in a luxury setting. Located at the heart of Gurgaon, our flagship clinic is equipped with the latest dental technology for your safety and comfort.

Our Location

Ground Floor, Vijay Tower, Harsaru, Sector 88, Gurugram, Haryana 122505

Get Directions

ready to fix that cavity?

Don't wait until a small hole turns into a painful root canal. Restore your tooth with a pain-free, invisible filling today.